Zirconium

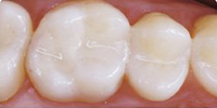
Zirconium is increasingly becoming the material of choice for dental crowns. It is an extremely robust material able to withstand the wear and tear of everyday use. More importantly however, it has a translucency that is very similar to a natural tooth. Light is reflected from a Zirconium crown in much the same way.

With properties similar to ceramic porcelain, Zirconia is an extremely strong material. Zirconia has replaced metal as the material of choice in hip replacement surgeries. In breakage tests, the materials are consistently proven to be more durable than there all ceramic counterparts, unfortunately they are still not as strong as the Porcelain fused to metal crowns.

Benefits

  • Virtually identical to real teeth
  • Strong, white and translucent tooth that rivals all-porcelain crowns
  • The problem of exposed metal crown margins in the older, porcelain- fused-to-metal technique is eliminated
  • High strength and corrosion resistance
  • transparent in X-Rays
  • Bio-compatible with human tissues and do not cause allergies which can occur (although not often) with metal-based crowns
  • Significantly less expensive than all-porcelain crowns, and about the same price as gold-based metal-porcelain crowns
  • precision accuracy for a better fit possible with the help of a laser scanner and a computer
  • Zirconia crown frame is thinner than the metal frames, which means less tooth is removed to prepare your teeth for zirconia dental crown

What are zirconium Crowns?

Zirconia of Zirconium Oxide is a white powdered metal used to create debate frameworks for crowns, bridges and other debate substructures. Dental crowns made of zirconium oxide are called zirconium crowns. Zirconia is 100% biocompatible and is virtually indestructible whereas Porcelain crowns are prone to chipping.




  • CEREC CAD CAM
  • CEREC® 3D